胸部CT常见的影像表现及对应的诊断要点
- 网络
- 浏览
- 2024-11-08 11:31
核心提示:临床上胸部 CT 能发现肺部的各种病变,比如肺炎、肺结核、肺脓肿,还有让人担心的肺癌。通过CT图像,我们可以清楚地看到肺部组织的结构,有没有结节、肿块,以及它们的大小、形态和位置。那么,胸部CT常见的影像表现及对应的诊断要点有哪些呢?
胸部CT常见的影像表现及对应的诊断要点

胸部 CT 能发现肺部的各种病变,比如肺炎、肺结核、肺脓肿,还有让人担心的肺癌。通过CT图像,我们可以清楚地看到肺部组织的结构,有没有结节、肿块,以及它们的大小、形态和位置。那么,胸部CT常见的影像表现及对应的诊断要点有哪些呢?

1. 肺部疾病
肺炎:在胸部CT图像上,肺炎通常表现为肺部的斑片状阴影。这些阴影的密度可以不均匀,边界可能模糊不清。根据感染的病原体不同,阴影的形态和分布也会有所差异。例如,细菌性肺炎常常表现为大叶性或小叶性分布的实变影,而病毒性肺炎则多为双侧肺部的磨玻璃样阴影,可伴有小叶间隔增厚。在诊断肺炎时,我们除了观察阴影的形态、分布外,还需要结合患者的临床症状,如发热、咳嗽、咯痰等,以及实验室检查结果,如白细胞计数、C - 反应蛋白等,进行综合判断。

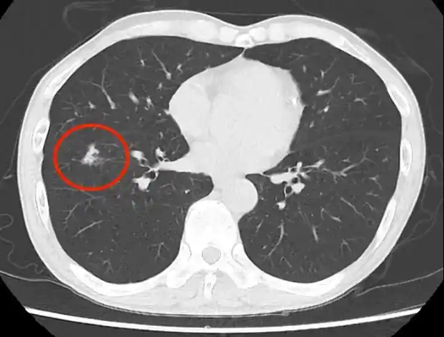
肺结节:肺结节是胸部CT检查中经常发现的一种病变。它表现为肺部的圆形或类圆形结节影,直径一般小于3cm。肺结节的性质多种多样,可以是良性的,如炎性结节、结核球等,也可以是恶性的,如肺癌。对于肺结节的诊断要点,首先要观察结节的大小、形态、边缘特征、内部密度等。较小的结节(小于5mm),如果边缘光滑、密度均匀,多为良性结节,建议定期随访观察。而对于较大的结节(大于8mm),尤其是边缘有毛刺、分叶,内部密度不均匀,或者存在胸膜牵拉征等恶性征象的结节,需要进一步进行增强扫描、PET - CT检查或经皮肺穿刺活检等,以明确其性质。

肺癌:肺癌在胸部CT上的表现因病理类型和分期不同而有所差异。早期肺癌可能表现为肺部的小结节影,随着病情的发展,可出现肿块影,肿块边缘不规则,有毛刺、分叶等征象,内部可有空洞形成,或伴有肺门淋巴结肿大、纵隔淋巴结转移等。对于疑似肺癌的患者,我们需要综合分析CT图像上的各种征象,同时结合患者的吸烟史、家族史、临床症状等因素,进行早期诊断和分期评估,以便制定合理的治疗方案。

2. 纵隔疾病
纵隔肿瘤:纵隔内包含多种器官和组织,是肿瘤的好发部位。在胸部CT图像上,不同类型的纵隔肿瘤具有不同的影像特征。例如,胸腺瘤通常位于前纵隔,表现为圆形或椭圆形肿块,边缘清晰,密度均匀或不均匀。神经源性肿瘤多位于后纵隔,呈圆形或哑铃状,可压迫邻近的脊柱或肋骨,产生骨质破坏。对于纵隔肿瘤的诊断,除了观察肿瘤的位置、大小、形态、密度等影像特征外,还需要结合患者的临床症状,如胸痛、呼吸困难、吞咽困难等,以及其他辅助检查结果,如肿瘤标志物检查、穿刺活检等。

3. 心血管疾病
冠心病:冠心病是由于冠状动脉粥样硬化导致心肌缺血的疾病。在胸部CT图像上,通过冠状动脉CTA(CT血管造影)技术,可以清晰地显示冠状动脉的走行、管径大小、有无狭窄及斑块形成等情况。对于冠心病的诊断要点,主要是观察冠状动脉的狭窄程度,如果冠状动脉狭窄超过50%,结合患者的临床症状(如心绞痛等),可诊断为冠心病。同时,还可以通过CT图像评估心肌的灌注情况,了解心肌缺血的范围和程度。
主动脉夹层:主动脉夹层是一种严重的心血管疾病,在胸部CT图像上表现为主动脉壁的内膜撕裂,形成真假两腔。真腔和假腔之间有内膜片分隔,增强扫描时可清晰显示内膜片的形态和走行,以及真假腔的强化程度差异。诊断主动脉夹层时,除了观察上述影像特征外,还需要准确判断夹层的起始部位、累及范围等,这对于制定治疗方案至关重要。
如果出现相关的症状,别害怕,及时进行胸部CT检查,早发现、早治疗。如果没有症状,也别自己吓自己,保持良好的生活习惯,定期体检,让我们的健康有保障!
来源:医药卫生网
本文地址:http://www.gjylw.com/hqyl/3.html
这5种药不宜长期服用,或破坏身体免疫力环医疗1
在家中测血压有哪些注意事项?环医疗2
在家中测血压有哪些注意事项?环医疗3- 环医疗高发期!传染性极强!中疾控:家长要重视
- 环医疗频繁打哈欠是中风信号?
- 环医疗胸部CT常见的影像表现及对应的诊断要点
- 环医疗腺样体肥大到底要不要切?请看这里→
- 环医疗陪老年人看病,如何省时省力
- 环医疗这5种药不宜长期服用,或破坏身体免疫力
- 环医疗世界卒中日 | 体检发现“缺血灶”“腔梗灶”,是脑梗死吗?
- 环医疗为何孩子常说肚子疼?该怎么办?
- 环医疗在家中测血压有哪些注意事项?
- 环医疗运动是良医 | 健康骑行有技巧,这3个重点你知道吗?
- 环医疗高血压患者需要经常换降压药吗?





